Magazin > Lepota & telo
39890 ogledov

Manekenka si je dala podaljšati noge, to je rezultat

Theresia Fischer Instagram
Sedaj je visoka 184 centimetrov.

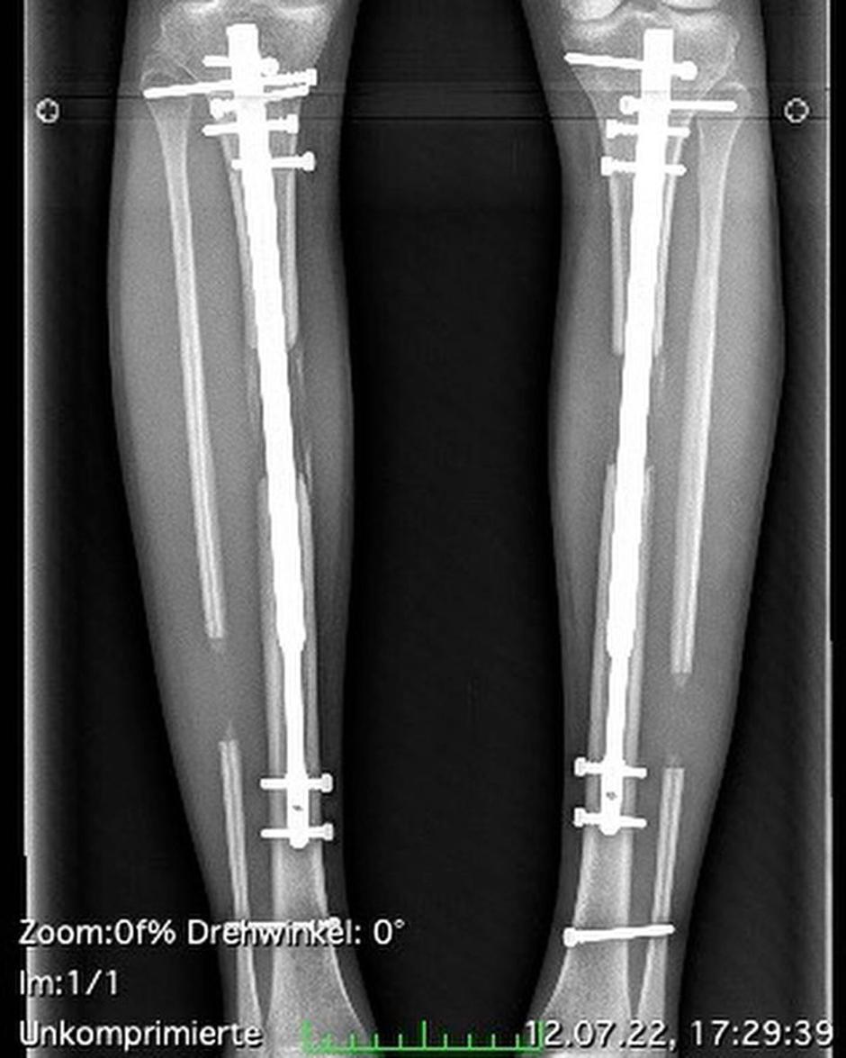
Nemška manekenkaTheresia Fischer, znana iz šova Germany's Next Topmodel, si je dala podaljšati noge. Prestala je dve operaciji in "zrasla" za 14 centimetrov. Sedaj je visoka 184 centimetrov, idealna višina za delo v svetu mode.  "8,5cm + 5,5cm = 14cm!! Od moje druge operacije je minilo eno leto. Leto polno moči, energije in vzdržljivosti. Leto brez visokih petk. Leto, ki je spremenilo moje življenje," je zapisala ob posnetku, na katerih se lepo vidijo njene dolge noge. 

 
 
 
 
 
 
 
 
 
 
 
 
 
 
 

A post shared by Theresia (@theresiafischer)

Med zapletenim posegom marca 2022 so 30-letnici prežagali kosti spodnjega dela noge in ji z obeh strani vstavili palice, s katerimi si je lahko nato samostojno z navijanjem podaljševala noge - centimeter za centimetrom. "Moje noge so sedaj dolge 116 centimetrov," je povedala lepotica in dodala, da bolečin ni več in da lahko spet počne vse, kar želi.

Theresia Fischer | Avtor: Instagram Instagram

 

Komentarjev 20
  • Justinasyy_3278 06:59 20.junij 2025.

    🍓 Vroča dekleta čakajo na vas na 👉 𝗦𝗲𝘅𝘁𝗼.𝗹𝗶𝗳𝗲

  • rd2dmk2 23:54 30.marec 2023.

    in kaj bo ta gravža reklamirala- vreče za smeti ? pa kera cunja paše nanjo ?

  • Zvono 19:54 30.marec 2023.

    Definitivno zrela za psihiatra, ona in kirurg!