Zdravje > Aktualno
3809 ogledov

Kaj takšnega še niso videli: Zaužila kokain, potem se je zgodilo

Urgenca Profimedia Urgenca
Zdravniki o tem, kaj lahko povzroči uživanje droge...

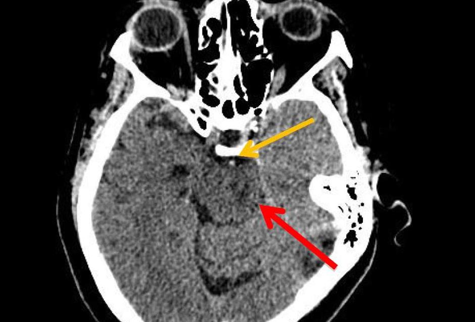
Štiri dni po uživanju kokaina je neimenovana Američanka iz Marylanda doživela možgansko kap, kar sicer ni nič nevadnega. Po navedbah zdravnikov, ki so svoj nenavadni medicinski primer opisali v znani strokovni publikaciji Journal of Medical Case Reports, je "uživanje kokaina dobro dokumentiran dejavnik pri ishemičnih in hemoragičnih možganskih kapi."

Vendar se redkokdaj zgodi, da so posledice tako hude. Telo 51-letnice je namreč popolnoma paralizirano, zaradi česar se sicer zaveda lastnih misli in čustev, a jih fizično ne more izražati. Gre za to, da jo je kap ukleščila v povsem paralizirano telo. 

Sindrom zaklenjenosti

Kot navajajo zdravniki, je doživela sindrom zaklenjenosti, ki je redek pojav po možganski kapi. Ekipa zdravnikov z Medicinske fakultete Univerze v Marylandu verjame, da je imela ženska štiri dni po uživanju kokaina zapoznelo možgansko kap. Zaradi tega je njen primer prvi te vrste v znanstveni literaturi.

Mehanizem, s katerim lahko kokain povzroči možgansko kap, še ni posem raziskan. Nedavno nazaj so na primer strokovnjaki z iste univerze odkrili, da se dan po snifanju kokaina tveganje za ishemično možgansko kap poveča za kar šest do sedemkrat. Kap se pojavi, ker kokain zgosti kri in se poveča možnost za nastanek krvnih strdkov.

Sindrom zaklenjenosti je redka možganska motnja, ki povzroči popolno paralizo vseh mišic, razen tistih, ki nadzorujejo gibanje oči. Trpeči so zavestni, vendar ne morejo govoriti ali se premikati. Običajno je prizadeta njihova kognitivna funkcija.

 | Avtor: BMJ BMJ
Povzroči  ga poškodba možganskega debla, ki vsebuje živce, ki prenašajo informacije na druge dele telesa. Takšna poškodba se običajno pojavi zaradi pomanjkanja krvnega pretoka ali krvavitve po travmi. Bolniki ne morejo žvečiti, pogoltniti, govoriti ali se premikati, razen oči, vendar lahko vidijo in slišijo. Večina prizadetih je na postelji in je odvisna od nege.

V Evropi vse več kokaina

Po podatkih Evropskega poročila o drogah 2019, ki ga je v Bruslju objavil Evropski center za spremljanje drog in zasvojenost z drogami, je v Evropi čedalje več kokaina, med prebivalci Slovenije, predvsem med mladimi, pa je najbolj razširjena droga konoplja.

Raziskava urinarnih biomarkerjev za različne droge v neprečiščenih komunalnih vodah 57 evropskih mest v 19 državah je pokazala, da se v Ljubljani dnevno porabi 119 g čistega kokaina, kar pomeni dnevno porabo 170 g kokainske mešanice.

Ljubljana se po količini kokaina na 1000 prebivalcev uvršča na 4. mesto, pred njo so le London, Amsterdam in Bern. Evropski center za spremljanje drog in zasvojenosti z drogami je za leto 2018 podal poročilo, v katerem se Ljubljana med 56 evropskimi mest uvršča na 11. mesto po porabi kokaina.

Centralna čistilna naprava Kranj Analiza Slovenija Ljubljana: V odpadnih vodah rekordne vrednosti kokaina

Koain med najbolj nevarnimi

Po navedbah DrogArta, kokain spada med najbolj škodljive snovi, ob redni uporabi povzroča poškodbe srčne mišice, saj je toksičen za srce. Srčna mišica tako izgubi elastičnost in se ne more več krčiti, zato lahko pride do odpovedi srca. Te poškodbe so nepopravljive. Poleg tega redno uživanje kokaina povzroča poškodbe nosne sluznice, izredno močno psihično zasvojenost in večjo možnost za nastanek depresije in/ali drugih psihičnih motenj (anksioznost, preganjavica, psihoze, … ).

dezurni@zurnal24.si

 

 

Komentarjev 1
Napišite prvi komentar!

Za komentiranje je potrebna prijava/registracija. Če nimate uporabniškega računa, izberite enega od ponujenih načinov in se registrirajte v nekaj hitrih korakih.