Zdravje > Aktualno
1867 ogledov

Za to boleznijo pri nas trpi 11 tisoč ljudi, moške prizadene prej

Profimedia
Bolezen se lahko začne z netipičnimi znaki. "Ko človek občuti, da počutje, gibalno ali negibalno, ni v redu, naj obišče osebnega zdravnika," svetuje zdravnica.

Na novinarski konferenci, ki je danes potekala v organizaciji Društva bolnikov s parkinsonizmom in drugimi ekstrapiramidnimi motnjami Trepetlika, so pred svetovnim dnevom Parkinsonove bolezni, ki ga zaznamujemo 11. aprila, skupaj z nevrologi izpostavili pomanjkljivosti pri ureditvi celostne rehabilitacije in obravnave bolnikov s to boleznijo.

"Da bodo bolniki lahko odšli na skupinsko rehabilitacijo, je sicer velik dosežek, a vseeno kapljica v morje potreb," je poudarila nevrologinja Maja Trošt s Kliničnega oddelka za bolezni živčevja nevrološke klinike Univerzitetnega kliničnega centra Ljubljana. Če bo mest na leto le 500, ogromno bolnikov ne bo deležnih rehabilitacije. Vodja strateškega sveta Slavko Stošicki je ob tem dejal, da rešitev vidi v kombiniranju skupinske obnovitvene in individualne rehabilitacije, saj je vsak bolnik unikaten.

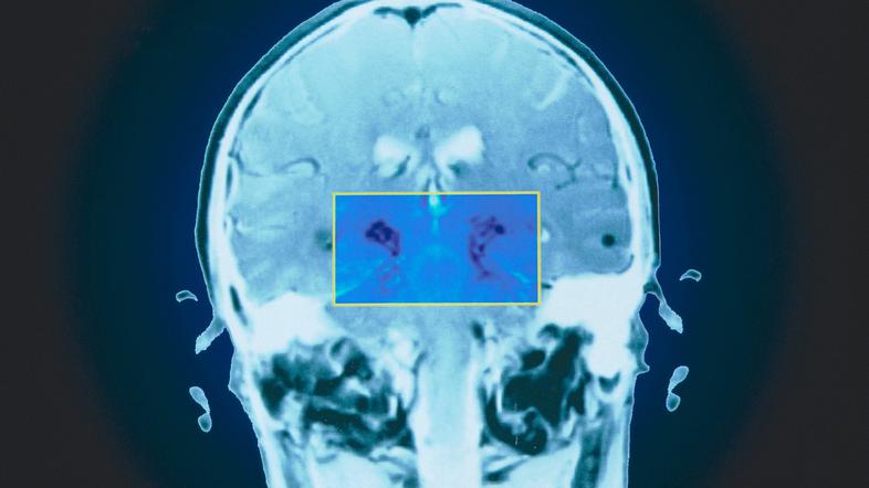
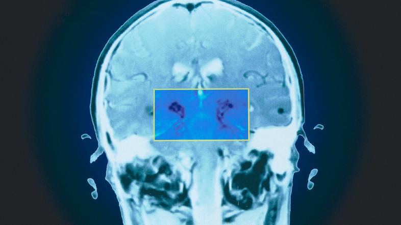
Parkinsonova bolezen nastane zaradi motnje v omrežju nigrostriatnih dopaminergičnih nevronov. | Avtor: Profimedia Profimedia
V Sloveniji je po podatkih Zavoda za zdravstveno zavarovanje Slovenije 10.900 ljudi, ki se zdravijo zaradi te bolezni. Stošicki je dejal, da je bolnikov vse več, pričakujejo pa, da se bo v Evropi do leta 2030 delež bolnikov celo podvojil. Le manjši del teh bolnikov ima dostop do celostne multidisciplinarne obravnave, ki je ključna za obvladovanje te bolezni. Trošt je izpostavila, da je prostora za izboljšave na tem področju veliko, saj to obravnavo nudijo le bolnikom, ki so hospitalizirani. Teh pa je vse manj, saj večino dela opravijo ambulantno.

Trenutno so bolnikom sicer na voljo simptomatska zdravila. Ko bolnik med jemanjem zdravil nima več dobre kakovosti življenja, mu zdravnik predpiše kontinuirano zdravljenje bolezni. To je pomembno, saj ima rehabilitacija, ki je pri zdravljenju bolezni pomembna vse od postavitve diagnoze naprej, omejen učinek trajanja. Izzveni namreč v nekaj tednih, mesecih, je dejal predstojnik oddelka za rehabilitacijo bolnikov po nezgodni poškodbi možganov na Univerzitetnem rehabilitacijskem inštitutu (URI) Soča Klemen Grabljevec. Pomembna je tudi zato, ker zdravila pri nekaterih simptomih nimajo zadostnega učinka, je dodal nevrolog Dejan Georgiev.

Specializiran program rehabilitacije je omejen le na nevrološko kliniko in URI Soča. "Prednost naše ustanove je, da poleg hospitalne rehabilitacije za bolnike izven Ljubljane, nudimo tudi programe v obliki dnevne hospitalne in ambulantne obravnave," je dejal Grabljevec. Potniški promet je ovira, da se več bolnikov ne odloči za slednji dve možnosti. Večina bolnikov izven Ljubljane se zato odloča za hospitalno rehabilitacijo na oddelku, kjer je na voljo omejeno število postelj.

Letno sprejmejo od 50 do 60 bolnikov

Za rehabilitacijo bolnikov z različnimi diagnozami je na njihovem oddelku na voljo 32 postelj. Na leto v URI Soča sprejmejo 50 do 60 bolnikov s Parkinsonovo boleznijo. Poudaril je tudi pomen rednega gibanja kot dolžnosti vseh bolnikov in ne pasivno čakanje na rehabilitacijo.

Govorci na novinarski konferenci so izpostavili pomen zgodnjega odkrivanja Parkinsonove bolezni ter pravočasnega in ustreznega zdravljenja. To bolezen uvrščamo med motnje gibanja. A težave, ki so vidne navzven niso edine, ki so značilne za bolezen, je dejala Trošt. Bolniki se soočajo tudi z motnjami razpoloženja, težavami s spominom, spanjem, koncentracijo, zaprtostjo, bolečinami, ...

"Nemotoričnim težavam se premalo posvečamo. Pomembno je, da bolniki pri zdravniku opišejo vse težave, ki bi lahko bile povezane s to boleznijo, saj tako lahko prej pride do diagnoze," je navedla. Bolezen se lahko začne z netipičnimi znaki. "Ko človek občuti, da počutje, gibalno ali negibalno, ni v redu, naj obišče osebnega zdravnika," je svetovala.

Komentarjev 1
  • Musaoa_4361 14:25 19.junij 2025.

    🍓 Vroča dekleta čakajo na vas na 👉 𝗦𝗲𝘅𝘁𝗼.𝗹𝗶𝗳𝗲