Zdravje > Otrok
2111 ogledov

Deček pogoltnil piščalko in to je bilo slišati iz njegovih pljuč

BMJ
Nenavadni primer "žvižgajočega kašlja."

Indijski zdravniki so zabeležili nenavadni primer, ko je zaradi nenavadnega kašlja na urgenco prišel štiriletni letni fantek. Šlo je "žvižgajoči, precej bizarni kašelj", proročajo v medicinski reviji BMJ Case Report. Stanje fantka ob prihodu na urgenco so zdravniki tudi objavili v spodnjem posnetku. 

Ob prihodu na kliniko niso opazili znakov okužbe, po stetoskopu, s katerim so mu poslušali pljuča, pa je zdravnik ugotovil nekakšno hupanje iz srednjega in spodnjega dela mladih pljuč.

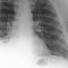
 | Avtor: BMJ BMJ
Fatiča so odpeljali na rentgen prsnega koša, kjer jih je čakalo presenečenje, pljuča so bila namreč napihnjena kot balon - preveč ujetega zraka v pljučih imenujemo hiperinflacija.  

Zaskrbljeni zdravniki so takoj opravili bronhoskopijo in ugotovili, da se v dečkovih pljučih nahaja igrača - piščalka. "Tuja telesa v dihalnih poteh so pogost pojav, živžgajoči kašelj ob tem pa je izjemno redek,"  je za Live Science dejal Dr. Pirabu Sakthivela z Indijskega inštituta za medicinske vede.

Igračo, ki jo je štiriletnik pogoltnil dva dni prej, so mu odstranili in fant je danes zdrav. 

40 let je imel v pljučih igračo

O podobnem primeru so v reviji poročali leto dni nazaj, ko se je  47- letni kadilec odpravil k zdravniku, ker je kar naenkrat začel izkašljevati rumeno sluz. Pričakoval je diagnozo raka na pljučih.

Rentgenska preiskava je pokazala na veliko senco, po temeljitem pregledu pa so zdravniki ugotovili, da ima moški v pljučih stožec. Šlo je pravzaprav za igračo oziroma prometni stožec iz kompleta igrač znanega proizvajalca igrač Playmobil. Moški se je pozneje spomnil, da je to igračo dobil kot darilo za svoj sedmi rojstni dan.

Neverjetno Zdravje V pljučih 47 letnika našli igračo

 

Komentarjev 1
Napišite prvi komentar!

Za komentiranje je potrebna prijava/registracija. Če nimate uporabniškega računa, izberite enega od ponujenih načinov in se registrirajte v nekaj hitrih korakih.