Magazin > Bizarno
39 ogledov

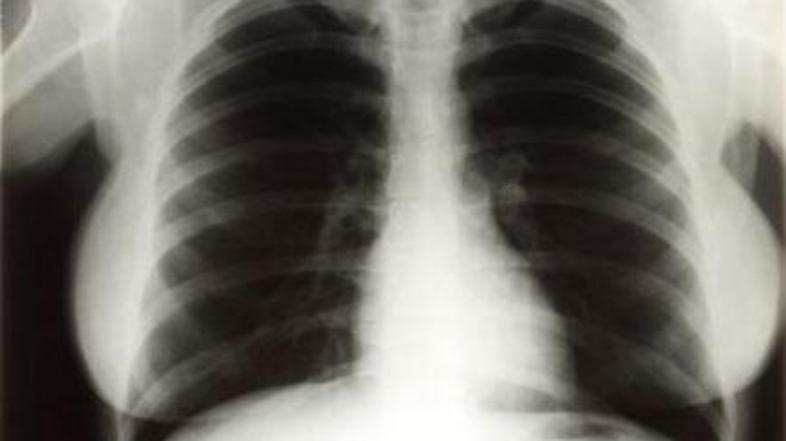
Na dražbi prodali Marilynin prsni koš

Rentgenske fotografije so prodali za veliko več denarja, kot so predvidevali. (F Žurnal24 main
Od smrti Marilyn Monroe je minilo že skoraj 50 let, vendar se njene stvari še danes dobro prodajajo na dražbah. Pred kratkim so na eni prodali rentgenske fotografije njenega prsnega koša.

Tri rentgenske fotografije Marilyn Monroe so pred nedavnim prodali na dražbi v Las Vegasu za skoraj 36 tisoč evrov.

Julienova dražba, ki je prodala fotografije, je ocenila, da jih bodo prodali za 2.400 evrov, a cena fotografij Marilyninega prsnega koša je strmo narasla.

Na dražbi so poleg fotografij ponujali tudi uhane, ki jih je Kate Winslet nosila v filmu Titanik, in jih prodali za 20 tisoč evrov. Za obleko, ki jo je Audrey Hepburn nosila v muzikalu Funny Face, pa je kupec odštel 45 tisoč evrov.

Komentarjev 1
Napišite prvi komentar!

Za komentiranje je potrebna prijava/registracija. Če nimate uporabniškega računa, izberite enega od ponujenih načinov in se registrirajte v nekaj hitrih korakih.