Slovenija
195 ogledov

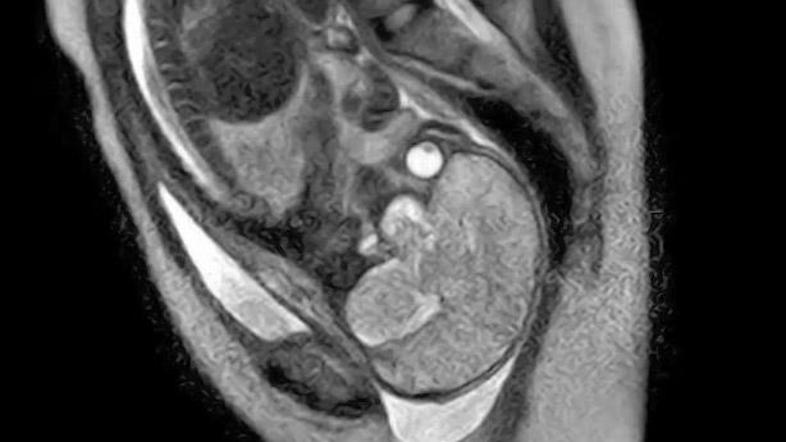
Prvi pogled v rojevanje otroka

porod, snemanje, magnetna resonanca
1/5
Žurnal24 main
Nemški zdravniki so z magnetno resonanco fotografirali rojevanje otroka. Kot so dejali v berlinski porodnišnici, bodo s fotografijami imeli lažjo predstavo o morebitnih zapletih pri rojstvih otrok.

"Glavni razlog za raziskovanje je odgovoriti na vprašanje, zakaj se lahko zgodijo zapleti pri porodu in da s sliko zajamemo proces rojevanja in morebitne komplikacije," je dejal vodja raziskovalne ekipe Christian Bamberg.

V zavihku galerija (vir: YouTube) si poglejte potek rojevanja otroka. Lahko si ogledate tudi video (vir: YouTube).

Če pri porodu pride do zapletov, se zdravniki odločijo za carski rez, ki pa bolj ogroža zdravje in življenje bodoče matere kot običajni porod.

"Fotografije so spektakularne," je dejal Bamberg. "Prikazujejo, kako se še nerojen otrok premika v porodnem kanalu, kako se premaknejo njegove kosti in kako njegova glavica spremeni smer."

Fotografije rojstva so bile posnete 20. novembra, celotno snemanje pa je trajalo eno uro.

Komentarjev 1
Napišite prvi komentar!

Za komentiranje je potrebna prijava/registracija. Če nimate uporabniškega računa, izberite enega od ponujenih načinov in se registrirajte v nekaj hitrih korakih.