Pri nas Zaskrbljujoči podatki o številu ljudi, pri katerih bolezni niso zdravljene Več kot polovica starostnikov v domovih za starejše občane ima zaradi pomanjkanja rednih zobozdravstvenih pregledov nez…
PROMO Zakaj je dobro zamenjati amalgamske plombe? Zelo malo ljudi v sodobnem svetu ima tako zdrave zobe, da nima nobene plombe oz. zobne zalivke. Žal je ogromno zalivk š…
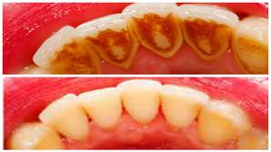
PROMO Vas moti zobni kamen, ki nenehno nastaja in povzroča težave z dlesnimi? V nadaljevanju preberite, kako se ga znebiti doma.
PROMO Do lepega nasmeha v 24 urah Ste vedeli, da vsakega lahko doleti nenadno izpadanje zob? Za vas imamo rešitev, kako se temu izogniti ... In kako lahk…
Promo Gnilih zob sem se znebila v 7 dneh! Vsako jutro in večer sem naredila sledeče Vsak si želi snežno bele in zdrave zobe. A za popolne zobe je treba vsakodnevno in pravilno skrbeti. Mnogi zanemarjajo …
Magazin Katera je boljša: Klasična ali električna zobna ščetka? Nemški stomatolog je v raziskavi odkril, katera vrsta zobne ščetke je najboljša.
Magazin Napake, ki jih delamo pri ščetkanju zob Čeprav se vam mogoče zdi, da pri ščetkanju zob človek ne more zgrešiti, obstaja kar velika verjetnost, da eno od nasled…
Magazin Napaka, ki izniči učinek zobne paste Ste vedeli, da si ust takoj po umivanju zob ne smete izprati z ustno vodico?
Magazin Zobe lahko čistite tudi s čokolado Če ste mislili, da je ščetkanje zob s čokoladno zobno pasto mogoče le v otroški domišljiji, se motite. Z njo namreč lah…
Magazin Si znate umiti zobe? 75 odstotkov odraslih ima slabo ustno higieno, je pokazala raziskava, ki so jo opravili na Švedskem, natančneje na Sahl…