Slovenija
0 ogledov

O evtanaziji bodo odločali sami

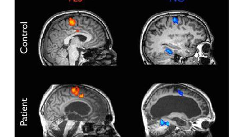
29-letniku so se ob misli na različne odgovore aktivirali različni predeli možga Žurnal24 main
Prelomno odkritje nakazuje, da lahko pacienti, ki so v vegetirajočem stanju , še vedno razumejo in se sporazumevajo z zunanjim svetom.

S pomočjo fMRI-naprav so znanstveniki v Cambridgeu ugotovili, da lahko pacienti, ki navzven ne kažejo nobenega znaka zavedanja, razumejo, kaj jim ljudje govorijo, in celo odgovarjajo na preprosta vprašanja, piše Daily Telegraph.

Britanski in belgijski raziskovalci so se do spoznanja dokopali, potem ko so preučevali 29-letnika, ki se je leta 2003 ponesrečil z avtomobilom. Po dveh letih kome je zdrsnil v stanje vegetacije. Bil je navidezno buden, občasno je pomežiknil, a ni kazal nobenih drugih znakov zavedanja.

Znanstveniki so odkrili, da se lahko pogovarjajo z njim prek nadzora možganske aktivnosti. S funkcijsko magnetno resonanco so merili odziv možganov na preprosta vprašanja. Ker so možganski signali, povezani z da in ne, preveč podobni, so mu namesto tega predlagali, naj za 'da' razmišlja o igranju tenisa, za 'ne' pa o sprehajanju okoli hiše. Te misli sprožijo dejavnost v različnih možganskih centrih.

Nato so mu zastavili šest preprostih vprašanj in merili možgansko dejavnost. Senzorji so misli vsakič zaznali po okoli petih minutah in vsi odgovori so bili pravilni.

Nova filozofska in etična vprašanja
Po mnenju člana ekipe, ki je delala raziskavo, Adriana Owena najnovejše odkritje poraja vrsto novih filozofskih in etičnih vprašanj, povezanih z odklopom pacientov, ki so v vegetativnem stanju.

Po njegovem mnenju se tako v nekaterih primerih umika dilema, ali nekoga v takem stanju evtanazirati ali ne, saj bodo nekateri pacienti to lahko izrazili sami. Skeptiki pa po drugi strani opozarjajo, da je od odgovarjanja na preprosta vprašanja do racionalnega razmišljanja velik preskok, kar priznavajo tudi avtorji raziskave.

Komentarjev 1
Napišite prvi komentar!

Za komentiranje je potrebna prijava/registracija. Če nimate uporabniškega računa, izberite enega od ponujenih načinov in se registrirajte v nekaj hitrih korakih.