Zdravje > Aktualno
46127 ogledov

To je pravica, ki vam pripada enkrat na leto, izkoristite jo

Zobozdravnik Shutterstock
Z eno od oblik paradontalne bolezni se srečuje kar 90 odstotkov Slovencev, pa se tega ne zavedajo, ker ta bolezen ne boli. Sicer pa, ste vedeli, da lahko gremo enkrat na leto na brezplačen pregled k zobozdravniku?

Paradentoza je kronična okužba, ki prizadene dlesni in kosti, kar lahko vodi celo do izgube zob. Po podatkih Svetovne zdravstvene organizacije ima to obliko bolezni okoli 15 odstotkov Evropejcev. V tem mesecu bodo zobozdravniki po vsej državi ozaveščali o tej bolezni in predvidoma pregledali okrog 87.500 pacientov.

Sicer vam pregled zob na lastno pobudo pripada enkrat na leto, kar se tiče zdravljenja vnetnih in drugih sprememb v ustih, vam jih vključno s kirurškimi posegi, krije zavarovalnica. 

zobozdravnik Raziskava Zdravje Slabo ustno zdravje velik krivec za nastanek tega raka

K zobozdravniku je treba takoj

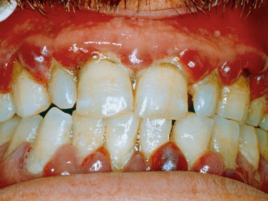
Z eno od oblik paradontalne bolezni se srečuje kar 90 odstotkov Slovencev, pa se tega ne zavedajo, ker pogosto ne boli. Gre za vnetje v ustni votlini, ki se začne v žepku med dlesnijo in zobom. Zaradi slabe higiene ali neustrezne prehrane se kopičijo bakterije, mnogi pa sploh ne vedo za bolezen, ki se lahko zelo klavrno konča. Znaki so v občasnem krvavljenju zob med ščetkanjem, kar pa mnogi zanemarjajo, saj mislijo, da je to normalen pojav. Zato je dobro prepoznati prve znake bolezni.

Bakterije, ki se nabirajo ob robu dlesni, s svojimi strupi in prek imunskega odgovora organizma povzročijo vnetje in propad obzobnih tkiv. Sprva je vneta le dlesen (gingivitis), nato pa so prizadeta tudi druga obzobna tkiva: koreninski cement, pozobnica in alveolna kost (parodontitis).

Gingivitis ali prva faza bolezni

 | Avtor: Profimedia Profimedia
Poleg občasnega krvavljenja so to občutljive in vnete dlesni. Gre za prvo fazo bolezni imenovano gingivitis, ki ga spremljajo slab zadah, čuden okus v ustih in svetlo rdeče dlesni. Pomembna je dobra ustna higiena, redno ščetkanja pa je najmanj kar lahko storimo za svoje zdravje. Vnetje dlesni se namreč lahko razširi vse do kosti, kar na koncu pomeni izgubo zob. 

Zobozdravnica Tina Faller Lipnik, ki sodeluje v akciji Zdrave dlesni, je dodala.

"Nezdravljeno vnetje dlesni, ki se kaže kot rdečina, oteklina oz. krvavitev, se lahko razvije v težje oblike vnetja obzobnih tkiv, paradontalno bolezen. To pa je kronična bolezen, kronično vnetje obzobnih tkiv, ki vodi k umiku dlesni, razgradnji pozobnice, cementa, kosti zobiščnega odrastka, k nastanku obzobnih žepov, majavosti zob in nenazadnje izgubi zob"

Če ste opazili simptome prve faze bolezni je seveda treba čimprej do zobozdravnika, ki bo odstranil zobni kamen in očistil žepke kar prepreči širjenje bolezni. Včasih je nujen še kirurški poseg. "Če je vneta samo dlesen, bi bolezen lahko zaustavili in obzobna tkiva bi se lahko popolnoma pozdravila," ob akciji Zdrave dlesni, ki poteka od 15. oktobra do 15. novembra in ljudi spodbuja k popolni ustni higieni, opozarjajo zobozdravniki.

V tem mesecu bodo ozaveščali o ustni higieni, učili o nevarnostih paradontalnih bolezni in meriili medzobne prostore. V letošnji akciji sodeluje 850 strokovnjakov za ustno zdravje, ki bodo pregledali okrog 87.500 bolnikov. 

Letos je v ospredju medzobna ščetka

 | Avtor: Profimedia Profimedia
Ljudje ustno higieno pogosto jemljejo kot rutinsko opravilo, pri tem pa pozabljajo, da ima vsak zob pet površin, z zobno ščetko pa v najboljšem primeru očistimo samo tri oz. 70 odstotkov površine zoba, je na tiskovni konferenci dejala vodja akcije Zdrave dlesni Katarina Petrović. Poudarila je, da do preostalih dveh ploskev najlažje in najbolj učinkovito dostopamo z ustrezno medzobno ščetko. "Marsikdo se ne zaveda, da 90 odstotkov težav s slabim zadahom izhaja iz neočiščenih medzobnih prostorov." To po njenem pomeni težkoopazen karies med zobmi in vnetje. Začne se krvavitev, ki ji mnogi ne posvečajo pozornosti. Po besedah strokovnjakinje gre za odprto rano, ki jo z uporabo medzobne ščetke lahko hitro pozdravimo.

30 odstotkov Slovencev si nepravilno umiva zobe

Večina ljudi je prepričana, da si pravilno umiva zobe, a so zobozdravniki vedno znova presenečeni nad ustno higieno svojih pacientov. Zobozdravnica Aleksandra Križaj Dumić je za Žurnal24 dejala, da kar 30 odstotkov vseh Slovencev svoje zobe še vedno umiva površno in s tem tvega številne bolezni. "Pri svojem delu opažam, da pri umivanju najpogosteje izpuščamo ploskve, pozorni pa smo le določene dele. Pogosto pozabimo tudi na čiščenje medzobnih prostorov in jezika, kar je zelo pomembno za ustno higieno. Jezik je namreč glavni indikator čistih zob, zato nanj nikakor ne smemo pozabiti," je dejala zobozdravnica, ki je ob tem opozororila na pravilno izbiro zobne ščetke. "Kakovostna zobna ščetka naj bo bogata s ščetinami. Najboljše zobne ščetke imajo več tisoč ščetin, ki so na koncu zaobljene."  Sicer zobe pravilno ščetkamo od dlesni proti zobu. 

Kaj vse nam pri zobozdravniku krije zavarovanica?

  • Zakon določa, da mora izvajalec zdravstvenih storitev pacientu, ki v celoti ali deloma sam plača zdravstveno storitev, predhodno pojasniti predvidene stroške storitve. Na pacientovo zahtevo je izvajalec dolžan tudi obrazložiti končni račun.
  • Zunaj delovnega časa vam zavarovalnica pokrije le nujne storitve. Zavrne vas lahko le, če je prezaseden.
  • Pregled zob vam na lastno pobudo pripada enkrat na leto, čez šest mesecev lahko greste na kontrolo po končanem zdravljenju.
  • Med drugim vam pripadajo: zdravljenje, polnjenje in nadgradnja zob, zdravljenja vnetnih in drugih sprememb v ustih, vključno s kirurškimi posegi, zobnoprotetični nadomestki, do 18. leta vam pripada tudi občasno čiščenje zobnih oblog in odstranjevanje zobnega kamna ter ortodontsko zdravljenje
  • Na bolj vidnih zobeh (sekalci in podočniki) vam krijejo tako imenovane bele plombe, na drugih pa amalgamske zalivke; protibolečinske injekcije vam krije zavarovalnica,
  • Zunaj delovnega časa vam zavarovanje pokrije le nujne zadeve; prav tako, če storitev opravi zobozdravnik, ki ni vaš osebni zobozdravnik.
  • Nočne storitve v dežurni ambulanti so nadstandardna dejavnost, kar pomeni, da ne sodijo med pravice iz obveznega zdravstvenega zavarovanja.

vanda.levstik@zurnal24.si

Komentarjev 2
  • Skipi 21:04 15.oktober 2019.

    Enkrat na leto grem lahko brezplačno do zobarja. Problem je le ker ga ne dobim da bi se sploh naročil k njemu. Zadnjega sem čakal leto in leti kolikor je imel čakalno da k njemu v vrsto prideš potem je ...prikaži več šel pa privat. In ponovi vajo....