Zdravje > Življenjski stil
4569 ogledov

Zdravniki so mu odprli želodec in doživeli šok

Operacija Profimedias
Neverjetno, kaj so našli v telesu 52-letnega moškega.

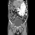
Skoraj 40 predmetov - vključno s ključi, kovanci in kartico SIM, so zdravniki odstranili iz želodca 52-letnega Indijca. Med kovinskimi predmeti, ki jih je zaužil bolnik, sta se znašla tudi šilček in magnet...

Po navedbah Mail Online, so zdravniki potrebovali 45 minut, da so to bizarno zbirko končno odstranili iz telesa moškega, ki se je na urgenci oglasil s hudimi bolečinami v trebuhu.

Zdravnik, ki je ta nenavani primer tudi opisal, je povedal, da je bil najmanjši predmet velik dva centimetra, večina se jih "prilepila" na magnet, ki ga je možakar s psihično motrnjo prav tako pojedel. Na srečo pacient ni utrpel nobenih notranjih poškodb,  zato so ga po nekaj dneh že izpustili iz bolnišnice in ga seveda napotili na dodatno zdravjenje. 

Zdravniki pogosto poročajo o podobnih primerih...

Nasploh zdravniki po svetu precej pogosto poročajo o "nenavadnih odkritjih" oziroma tujkih, ki so jih hote ali nehote zaužili odrasli. Tako smo pred tem pisali o podobnem primeru 54-letnega moškega iz Južne Koreje. Pri njem je je računalniška tomografija (CT) trebušnih organov pokazala, da je želodec napolnjen s tujki, natančneje s kovanci in kamenčki, ki so tehtali kar dva kilograma. Bolnik jih je goltal, ko je bil zaskrbljen, saj ga je takšno početje pomirilo. 

Urgentno Zdravje Zaradi zobotrebca mladi športnik na robu smrti
zdravnik, operacija Bizarno Zdravje Nenavadni primeri: Zdravniki so mu z industrijsko žago reševali penis


 
Komentarjev 1
Napišite prvi komentar!

Za komentiranje je potrebna prijava/registracija. Če nimate uporabniškega računa, izberite enega od ponujenih načinov in se registrirajte v nekaj hitrih korakih.