Še ena napaka UKC Ljubljana: Sploh ni imel raka prostate, sledila pa je obsežna operacija O zmoti so ga obvestili po operaciji.
Korupcija? UKC Ljubljana: Kirurg zahteval, da mu 6.000 evrov nakažejo v Hongkong Kirurg in predstojnik kliničnega oddelka za nevrokirurgijo v ljubljanskem UKC Roman Bošnjak je z zasebnega elektronskeg…
Slovenija Klinični center se je odzval na ministrove izjave V UKC Ljubljana so se odzvali na besede ministra za zdravje Daniela Bešič Loredana, da izredne razmere v zdravstvu nala…
Slovenija Zato se obeta kadrovski cunami v bolnišnicah V devetih od 21 bolnišnic je vlada zamenjala člane svetov zavoda.
Slovenija Dodaten denar za UKC Ljubljana, tudi za covid oddelek Sredstva bodo namenjena prenovitvi in opremi stavbe nekdanjega zavoda za varstvo pri delu (ZVD).
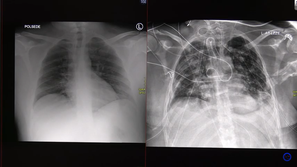
UKC Ljubljana Video: Strašljive posledice, ki jih povzroči covid-19 Dva primera covid pljučnice - pri enem bolniku se je stanje relativno hitro izboljšalo, drugemu, le 30-letnemu bolniku,…
Zdravje V UKC LJ posebne postelje za tiste, ki prejemajo zdravilo za covid-19 V UKC Ljubljana so vzpostavili prostore za aplikacijo zdravila regeneron, ki se uporablja pri okužbi z novim koronaviru…
Slovenija Šla na obisk v bolnišnico, zdaj ji grozi zaporna kazen Ljubljanski klinični center poroča o zlorabi potrdila PCT.
Slovenija To se zgodi, ko zanikovalci virusa pridejo v bolnišnico Nasprotniki cepljenja in zanikovalci virusa o zdravnikih na družbenih omrežjih pišejo vse mogoče, da so plačanci, del s…
UKC LJ V UKC LJ skoraj polno zasedene kapacitete, pozivi k samozaščitnem ravnanju Kapacitete v UKC LJ so skoraj polno zasedene. Večinoma obravnavajo necepljene posameznike. Zapolnjeni so tudi otroški o…