Na vrtu Top čiliji za domači vrt: Najboljše sorte, ki jih je najlažje gojiti V velikih vrtnarskih centrih je ponudba sadik čilijev ravno prav velika, da vsak lahko zase najde pravo. Pri izbiri je …
20. - 21. marec Mednarodni festival Čili in čokolada Izvedeli boste vse, česar o čilijih in čokoladi še ne veste ...
Novo To živilo vas varuje pred srčno in možgansko kapjo! Zdaj so ugotovili, da redno uživanje čilija pomaga zmanjšati tveganje za bolezni srca in kapi.
22. in 23. marec Mednarodni festival Čili & Čokolada Nepozabno doživetje sladko pikantnih kreacij lahko doživite med 22. in 23. marcem, ko se bo na trgu Leona Štuklja v Mar…
Ga imate doma? Za mnoge najbolj zdrava hrana na svetu: To odkriva slovenska študija Tujim študijam, ki so dokazale ugodne vplive čilija in njegove glavne sestavine, kapsaicina na številne biološke proces…
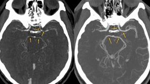
Zožitev arterij Čili: Po zaužitju popularne zelenjave so ga odpeljali na urgenco Računalniška tomografija glave pokazala, da so se moškemu močno zožile arterije.
18.junij Mmmmm... gurmanski burgerji, pivo in čili Gurmanski burgerji, pivo in ščepec čilija, da izostri čute … v dobri družbi na pragu poletja – To soboto na 1. festival…
Magazin Riž s čilijem Pečen riž je odlična priloga k mesnim in zelenjavnim jedem. Tokrat ga začinite s čilijem, po želji pa mu primešajte še …