Prijava Facebook prijava
logo-zurnal24.si-full logo-zurnal24.si-reduced
  • Slovenija
    • Slovenija
    • Intervjuji
    • Komentarji in kolumne
    • Črna kronika
    • Festival za ljubitelje živali
    • E-Life
    • Poglej rubriko
  • Svet
  • Šport
    • Šport
    • Olimpijske igre
    • Nogomet
    • Košarka
    • Moto športi
    • Kolesarstvo
    • Zimski športi
    • Poglej rubriko
  • Magazin
    • Magazin
    • VIP
    • Film & Glasba & TV
    • Bizarno
    • Lepota & telo
    • Odnosi in prosti čas
    • Horoskop in Numerologija
    • Joonglaa
    • Poglej rubriko
  • Zdravje
    • Zdravje
    • Eko kotiček
    • Fitnes
    • Aktualno
    • Otrok
    • Življenjski stil
    • Prehrana
    • Intima
    • Sem s teboj
    • Poglej rubriko
  • Avto
    • Avto
    • Testi
    • Avto nasveti
    • Kombinirana
    • Na Štrom
    • Iz druge roke
    • Šofer naj bo
    • Poglej rubriko
  • Popotnik
  • Pod Streho
    • Pod Streho
    • Gradimo & Obnavljamo
    • Nepremičnine
    • Varčna Hiša
    • Na vrtu
    • Poglej rubriko
  • Trajnostno
  • Novice
  • Žurnal priporoča
  • Moj sanjski šiht
Spremljaj nas:
Najdenih 24 rezultatov za „

pljuča

”
pljuča KOPB
Težke bolezni

Alarmantno opozorilo: Ti otroci pozneje v življenju v veliko večji nevarnosti

Povod za opozorila najnovejša in prva takšna raziskava.
Kajenje
Šokantno

Pretresljivi posnetki zdravih pljuč in pljuč kadilca

Glavni povzročitelj raka na pljučih je kajenje.
Množica
Žalostno

Zaskrbljujoče statistike za slovenske moške

Slovenski moški na tretjem mestu v Evropi ...
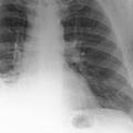
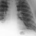
Neverjetno

V pljučih 47 letnika našli igračo

Rentgenska preiskava je pokazala na veliko senco v pljučih.
kurkuma
Magazin

Napitek, ki bi ga morali piti kadilci in nekdanji kadilci

Napitek iz treh živil bo iz vaših pljuč pomagal odstraniti toksine.
Melissa brez pljuč
Ni jim preostalo dr…

Mlada mamica kar šest dni brez pljuč

Kanadski zdravniki so s posegom, ki si ga doslej ni upal opraviti nihče na svetum rešili življenje mladi materi. Da bi …
Da bo v deželi, ki je sopomenka za kajenje, takšna prepoved sprejeta z veliko hu
Rak

Podatki, ki šokirajo

Glavni vzrok raka na pljučih je kajenje. Zaradi tega raka sedaj umira generacija, ki je s kajenjem začela pred 30, 40 l…
promet Ljubljana vpadnica
Onesnažen zrak

Največja nevarnost za mestne prebivalce

Dolgotrajna izpostavljenost drobnim delcem povzroča težave z dihanjem ter bolezni srca in ožilja ter skrajšuje življenj…
Magazin

Pljuča ne oprostijo cigarete

Bolnikom s KOPB vsak najmanjši telesni napor predstavlja veliko oviro.
KOPB
KOPB

Za posledicami umre 600 Slovencev na leto

KOPB. Za kronično obstruktivno pljučno boleznijo zboli eden od štirih moških in ena od šestih žensk, ki so stari 55 let.
  • Prejšnja
  • 1
  • 2
  • 3
  • Naslednja
logo-zurnal24.si-full logo-zurnal24.si-reduced
  • O žurnalu
  • Uredništvo
  • Oglaševanje
  • Zaposlitev
  • Pravno obvestilo
  • Kodeks
  • Piškotki
  • Nagradne igre
  • Pravila zasebnosti
  • RSS
Spremljaj nas
Partnerji:
  • Vreme.net
  • bolha.com
  • med.over.net
  • Style.Over.Net
Powered by: Publitzer
Copyright 2026. Zurnal24 | Styria Media si

Žurnal24.si je osrednji slovenski novičarski portal, ki se po dosegu uvršča med prve tri najbolj obiskane slovenske spletne strani. Žurnal24 je mesto, kjer lahko prebirate aktualne, ekskluzivne, domače, tuje in slovenske novice. Naši novinarji se pri svojem delu najstrožje držijo novinarskega kodeksa in informacije striktno preverjajo. Navajajo vire, kar žal ni praksa v slovenskem medijskem prostoru in dajejo v svojih novicah prostor vsem, ne glede na politično ali kakršno koli drugo pripadnost. ... Preberi več